
Título: Anterior Lens Capsule Signature of Pseudoexfoliation Syndrome
Autor: PEDRO MOTA MOREIRA
Coautores: JOÃO ROMANA (da ULS Lisboa Ocidental)
Instituição: ULS São João
Descrição: Pseudoexfoliation Syndrome; Pseudoexfoliative Material; PEX

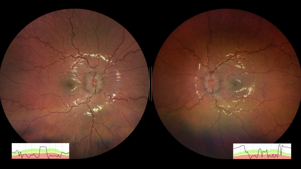
Título: Popcorn! At The Disc(o)
Autor: Ricardo Marques Mocho
Coautores: Laura Vilaverde, Pedro Baptista
Instituição: ULS de Santo António
Descrição: Multimodal Imaging (Wide-Field Retinography, Fundus Fluorescein Angiography and Fundus Autofluorescence) of a peripapillary astrocytic hamartoma

Título: Schlemm’s Canal: An Unusual Point of View
Autor: Alexandra Campos da Silva
Coautores: João Tavares Ferreira
Instituição: ULS São João
Descrição: Slit-lamp photograph showing blood-filled Schlemm’s canal after dynamic gonioscopy.

Título: Candeeiro Ahmed... agora em versão intraocular
Autor: Sofia Machado
Coautores: David Alves, Carolina Mota, Mariana Castelo, Claúdia Ferreira, Sérgio Estrela-Silva
Instituição: ULS São João
Descrição: Tubo de válvula de Ahmed inadvertidamente posicionado posteriormente ao complexo saco-lente intraocular, com encarceramento de vítreo.

Título: Between Pressure and Light
Autor: Laura Vilaverde
Coautores: Rita Vieira, Ana Figueiredo, Rita Reis, Maria João Menéres
Instituição: Unidade Local de Saúde de Santo António
Descrição: (A) Emulsified silicone in the anterior chamber forming a distinct ring-shaped corneal epithelial bulla. Inferior corneal neovascularization; (B) Fifteen days post-cyclophotocoagulation, with partial regression of the epithelial bulla.

Título: The Vascular Signature of Glaucoma
Autor: João Mendes
Coautores:
Instituição: ULS Alentejo Central
Descrição: Glaucoma Neovascular

Título: Unmasking the Uvea: BDUMP as a Rare Cause of Glaucoma
Autor: Mariana Salsa Castelo
Coautores: Susana Penas; Joana Araújo.
Instituição: Unidade Local de Saúde São João, Porto, Portugal
Descrição: UBM showing diffuse ciliary body thickening and sulcus cysts. This characteristic finding was pivotal in unmasking BDUMP as the cause of secondary glaucoma, correlating the anterior uveal expansion with the posterior segment changes.

Título: Mielinização Bilateral Extensa da Camada de Fibras Nervosas Retinianas
Autor: Bernardo Monteiro
Coautores:
Instituição: ULS Santa Maria
Descrição: Retinografias de uma doente de 47 anos com mielinização bilateral exuberante da camada de fibras nervosas, um achado incidental com impacto visual e relevância clínica.

Título: Paul, não te estiques!
Autor: Maria Vivas
Coautores: João Conniot, José Charréu, Bruno Pombo, Tomás Costa, Fernando Trancoso Vaz, Isabel Prieto
Instituição: ULS Amadora Sintra
Descrição: Dispositivo de drenagem Paul com encarceramento iridiano e distorção pupilar.

Título: "Mãe, dói-me a cabeça": a história de uma cefaleia refratária à analgesia oral.
Autor: Tiago Cerdeira das Neves
Coautores:
Instituição: ULS São José
Descrição: Papiledema agudo grau II (bilateral)

Título: Turning Up the Pressure: Here Comes ICE
Autor: Ana Mendes-da-Silva
Coautores: Ana Margarida Sampaio, Marta Vaz Pereira, Álvaro Silva, Marina João
Instituição: ULS Braga
Descrição: 37-year-old woman referred for suspected glaucoma, showing multiple nodular iris nevi, corectopia, and a closed angle in the right eye, diagnosed with iridocorneal endothelial (ICE) syndrome, Cogan-Reese variant.

Título: The Hidden Depth of a Corneal Foreign Body
Autor: António Alberto Ribas
Coautores: Joana Pacheco, Manuel Tavares Correia, João Romana, Filipa Madeira, Marta Correia
Instituição: Hospital de Egas Moniz - ULSLO
Descrição: The Role of Anterior Segment OCT

Título: The Serpent Crown of the Optic Disc
Autor: David Rosário Alves
Coautores: Sofia Oliveira Machado, Renato Santo Silva
Instituição: ULS São João, Centro Hospitalar Universitário de São João
Descrição: This photograph reveals tortuous vessels radiating from the optic disc, forming a striking serpiginous configuration reminiscent of the mythical crown worn by Medusa in Greek mythology. The image was obtained in a 13-year-old girl with unremarkable medical history, born at term, referred for routine pediatric ophthalmology evaluation. Ophthalmic examination revealed mild myopia, with best-corrected visual acuity of 1.0 in both eyes and no abnormalities on biomicroscopy. Fundoscopy of the left ey

Título: The Ahmed FP7 efficiently vacuums aqueous, silicone, and other particles. Try it now!
Autor: Joana Cardoso de Jesus Marcelino Ferreira
Coautores: Miguel Lopes, Bruna Cunha, Elisa Luís, Joana Cardigos
Instituição: ULS S. José
Descrição: Na imagem observa-se um tubo pré-pupilar na câmara anterior de uma válvula Ahmed Glaucoma Valve FP7, implantado em posição nasal inferior. Apesar da tendência natural do silicone para migrar superiormente, identifica-se junto à extremidade distal do tubo uma bolha de óleo de silicone, provavelmente atraída pelo efeito de sucção gerado pelo funcionamento da válvula.

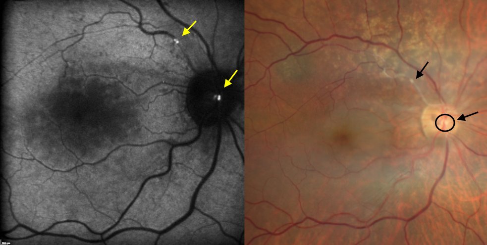
Título: Retinal imprint of optic tract injury
Autor: Telma Machado
Coautores: Raquel Félix, Henrique C. Queirós, Miguel Raimundo, Pedro Fonseca
Instituição: Hospitais da Universidade de Coimbra, ULS Coimbra
Descrição: Near-infrared reflectance and macular optical coherence tomography reveal semilunar hyporeflective areas corresponding to microcystic changes within the retinal inner nuclear layer. These changes involve the temporal hemiretina of the right eye and nasal hemiretina of the left eye, respecting the vertical meridian and correlating with a left homonymous hemianopia.

Título: Documentação Fotográfica de Oclusão Embólica da Artéria Central da Retina
Autor: Joana Mendes Bettencourt Cirne Pacheco
Coautores: Mariana Portela, João Romana, Manuel Tavares Correia, Alberto Ribas
Instituição: Hospital Egas Moniz
Descrição: Esta composição fotográfica é compreendida por uma retinoscopia e uma autoflurescência do fundo do olho direito do mesmo doente, em ambas as imagens é possível identificar dois êmbolos que interrompem o fluxo arterial da artéria central da retina.
Elemento do Juri
-Dra. Sofia Teixeira - ULS Alto Minho
-Dr. João Romano - ULS Região de Leiria
-Dra. Bruna Cunha - ULS São José
Foto vencedora
Título: Turning Up the Pressure: Here Comes ICE Autor: Ana Mendes-da-Silva Coautores: Ana Margarida Sampaio, Marta Vaz Pereira, Álvaro Silva, Marina João Instituição: ULS Braga Descrição: 37-year-old woman referred for suspected glaucoma, showing multiple nodular iris nevi, corectopia, and a closed angle in the right eye, diagnosed with iridocorneal endothelial (ICE) syndrome, Cogan-Reese variant.

